Các triệu chứng, phòng ngừa bệnh do Virus Marburg gây ra
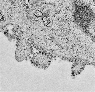
(QK7 Online) - Marburg là bệnh đặc biệt nguy hiểm, khả năng lây truyền và tỉ lệ tử vong cao từ 50 - 88%.
(QK7 Online) - Marburg là bệnh đặc biệt nguy hiểm, khả năng lây truyền và tỉ lệ tử vong cao từ 50 - 88%.
(QK7 Online) - Ngày 23.9, Trường Quân sự Quân đoàn 4 cử 200 học viên đào tạo y tá khóa 55 hỗ trợ huyện Củ Chi, TP Hồ Chí Minh lấy mẫu xét nghiệm tầm soát virus SARS-CoV-2 bảo vệ “vùng xanh”. Đây là đợt thứ 3 nhà trường xuất quân giúp các địa phương chống dịch trên địa bàn TP Hồ Chí Minh và tỉnh Bình Dương.
Sáng 5-5, theo tin từ Sở Y tế Hà Nội, thành phố vừa xác định thêm một trường hợp dương tính với virus SARS-CoV-2, là F1 trên chuyến bay VN160 cùng với chuyên gia Trung Quốc.
Chiều 13-8, Ban Chỉ đạo quốc gia phòng, chống dịch Covid-19 cho biết, Việt Nam ghi nhận thêm 22 ca dương tính với virus SARS-CoV-2. Trong đó có 14 ca ghi nhận tại Đà Nẵng, 2 ghi nhận tại Quảng Nam, 1 ghi nhận tại Quảng Trị và 5 ca tại Khánh Hòa được cách ly ngay sau khi nhập cảnh.
Chiều 10-8, Ban Chỉ đạo Quốc gia phòng, chống dịch Covid-19 cho biết, Việt Nam ghi nhận thêm 6 ca dương tính với virus SARS-CoV-2. Trong đó có một ca ở Quảng Nam, 4 ca ở Đà Nẵng và một ca nhập cảnh tại TP Hồ Chí Minh được cách ly ngay.
Chiều 8-8, Ban Chỉ đạo Quốc gia phòng, chống dịch Covid-19 cho biết, Việt Nam ghi nhận thêm 21 ca dương tính với virus SARS-CoV-2. Trong đó, có 20 ca liên quan Đà Nẵng (Đà Nẵng: 15 ca, Quảng Nam: 2 ca, Bắc Giang: 2 ca, Khánh Hoà: 1 ca) và một ca cách ly ngay sau nhập cảnh tại Hà Nội.
Chiều 4-8, Ban Chỉ đạo Quốc gia phòng, chống dịch Covid-19 cho biết, Việt Nam đã ghi nhận thêm 18 ca dương tính với virus SARS-CoV-2. Trong đó 16 ca tại Đà Nẵng, một ca tại Đồng Nai, có liên quan đến Bệnh viện Đà Nẵng và một ca từ Guinea Xích đạo.
Chiều 2-8, Ban Chỉ đạo Quốc gia phòng, chống dịch Covid-19 cho biết, Việt Nam đã ghi nhận thêm 30 trường hợp mắc Covid-19 mới, nâng tổng số ca mắc tại Việt Nam đến nay lên 620 ca. Trong đó, địa bàn Đà Nẵng là 16 ca; Quảng Nam là 9 ca, Đắk Lắk là 2 ca, Đồng Nai là 1 ca, Khánh Hòa là 1 ca, Hà Nam là 1 ca.
Sáng 2-8, Ban Chỉ đạo Quốc gia phòng, chống dịch Covid-19 cho biết, Việt Nam ghi nhận 4 ca dương tính với virus SARS-CoV-2, trong đó có 2 ca liên quan đến Đà Nẵng (TP Hồ Chí Minh: 1; Quảng Ngãi: 1) và 2 ca cách ly ngay sau nhập cảnh tại Hòa Bình.
Chiều 31-7, Ban Chỉ đạo Quốc gia phòng, chống dịch Covidd-19 cho biết, Việt Nam ghi nhận 37 ca dương tính với virus SARS-CoV-2, trong đó có 26 ca nhập cảnh được cách ly ngay, 3 ca tại TP Hồ Chí Minh và 8 ca tại Quảng Nam.
(QK7 Online) - Đáp: Covid-19 là virus có cả ở người và động vật bị bệnh cũng như người và động vật mang virus không có biểu hiện bệnh. Từ người và động vật mang virus, Covid-19 được phát tán ra môi trường xung quanh chủ yếu dưới dạng giọt bắn từ dịch tiết đường hô hấp khi ho, hắt hơi, xì mũi hay khạc nhổ. Các giọt bắn này gây ô nhiễm không khí trong phạm vi bán kính 2m từ nguồn phát tán. Từ không khí, các giọt bắn rơi lên bề mặt các đồ vật như quần áo, bàn ghế, điện thoại, bàn phím máy tính,
(QK7 Online) - Đáp: Covid-19 là virus có cả ở người và động vật bị bệnh cũng như người và động vật mang virus không có biểu hiện bệnh. Từ người và động vật mang virus, Covid-19 được phát tán ra môi trường xung quanh chủ yếu dưới dạng giọt bắn từ dịch tiết đường hô hấp khi ho, hắt hơi, xì mũi hay khạc nhổ. Các giọt bắn này gây ô nhiễm không khí trong phạm vi bán kính 2m từ nguồn phát tán.
Covid-19 là virus có cả ở người và động vật bị bệnh cũng như người và động vật mang virus không có biểu hiện bệnh.
Sáng 11/3, Ban Chỉ đạo Quốc gia phòng chống dịch bệnh viêm đường hô hấp cấp do chủng mới của virus Corona gây ra (virus SARS-CoV-2, dịch bệnh COVID-19) đã họp triển khai các biện pháp phòng, chống dịch. Phó Thủ tướng Vũ Đức Đam, Trưởng Ban Chỉ đạo chủ trì cuộc họp.
(QK7 Online) - Cùng với việc chuẩn bị chu đáo về mọi mặt cho công tác huấn luyện năm 2020, Tiểu đoàn Tiểu đoàn 208 – Trung đoàn 736 – Bộ CHQS tỉnh Bình Phước luôn chú trọng thực hiện các biện pháp phòng, chống dịch viêm đường hô hấp cấp do chủng mới của virus Covid-19 gây ra.
(QK7 Online) - Ngày 7/2, Bệnh viện Quân y 7A tổ chức buổi diễn tập tiếp nhận, xử trí tình huống bệnh nhân nghi ngờ nhiễm virus Corona chủng mới (nCoV) với 2 tình huống giả định.
(QK7 Online) - Hiện nay, dịch bệnh viêm đường hô hấp cấp do chủng mới của virus Corona (nCoV) gây ra có nhiều diễn biến phức tạp, khó lường, có xu hướng tăng nhanh, lan rộng ra nhiều quốc gia và vùng lãnh thổ. Để kiểm soát, không để lây lan dịch bệnh, Bộ Tư lệnh Quân khu 7 đã triển khai công tác phòng, chống dịch, sẵn sàng triển khai Bệnh viện dã chiến truyền nhiễm số 5 khi có lệnh.
Chiều 31-1, Thành ủy, HĐND, UBND, Ủy ban MTTQ Việt Nam TPHCM tổ chức Hội nghị triển khai công tác ngăn chặn, khống chế dịch viêm viêm đường hô hấp cấp do chủng mới virus Corona (nCoV) gây ra tại TPHCM.
Ngày 29/1, đồng chí Trần Quốc Vượng, Ủy viên Bộ Chính trị, Thường trực Ban Bí thư đã ký Công văn số 79-CV/TW gửi: Các tỉnh ủy, thành ủy; các ban đảng, ban cán sự đảng, đảng đoàn, đảng ủy trực thuộc Trung ương; các đảng ủy đơn vị sự nghiệp Trung ương về việc phòng, chống dịch bệnh viêm đường hô hấp cấp do virus Corona (Vi rút Cô-rô-na) gây ra.
Ngày 28-1, Thủ tướng Chính phủ Nguyễn Xuân Phúc đã ký ban hành Chỉ thị số 05/CT-TTg về phòng, chống dịch bệnh viêm đường hô hấp cấp do chủng mới của virus Corona gây ra, trong đó yêu cầu trước mắt thành lập Đội phản ứng nhanh, Bộ Y tế hàng ngày báo cáo.
Cơ quan chủ quản: Bộ Tư lệnh Quân khu 7
Giấy phép số 486/GP-BTTTT ngày 28/07/2021
© Báo Quân khu 7 điện tử giữ bản quyền nội dung trên website này.
Chỉ được phát hành lại thông tin từ website này khi có sự đồng ý bằng văn bản của báo.
Tòa soạn: 17/12 Hồ Văn Huê, phường Đức Nhuận, TP. Hồ Chí Minh
Tổng Biên tập: Đại tá Nguyễn Văn Bắc
Phó Tổng Biên tập: Thượng tá Lại Thế Hiền
Email: bao@qk7.vn | info@baoquankhu7.vn | 1